CLÍNICA DENTAL DÍAZ ESPEJO
Cuidamos tu salud bucodental con tratamientos de alta calidad, precisión diagnóstica y un trato humano excepcional.
ESPECIALIZADOS EN HACERTE SONREIR
OFRECEMOS LOS MEJORES SERVICIOS CON LA MAS ALTA CALIDAD Y LA MEJOR CONEXION CON EL PACIENTE
CIRUGIA E IMPLANTES
Especialistas en cirugía oral e implantología para recuperar piezas dentales de forma eficaz, segura y duradera.
ORTODONCIA Y ORTOPEDIA
Corrección de malposiciones dentales y crecimiento óseo para una sonrisa funcional y armónica.
ENDODONCIA
Tratamientos para conservar piezas dentales dañadas mediante terapia pulpar avanzada con microscopio.
ESTETICA DENTAL Y ARMONIZACION OROFACIAL
Mejoramos la apariencia de tu sonrisa y tu perfil con tratamientos personalizados y mínimamente invasivos.
PROTESIS FIJA Y REMOVIBLE
Rehabilitación dental personalizada para restaurar función y estética con soluciones adaptadas a cada paciente
ODONTOLOGIA RESTAURADORA
Recuperamos la forma y función de tus dientes mediante empastes estéticos y restauraciones de alta precisión..
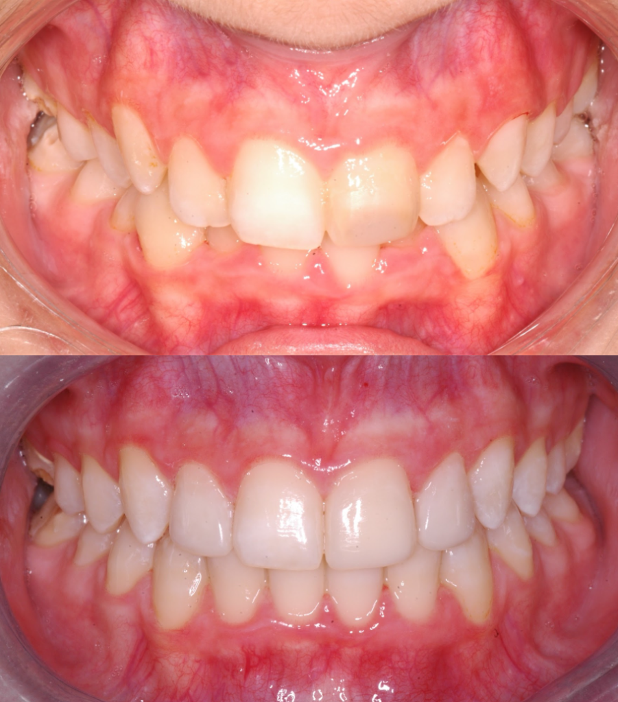
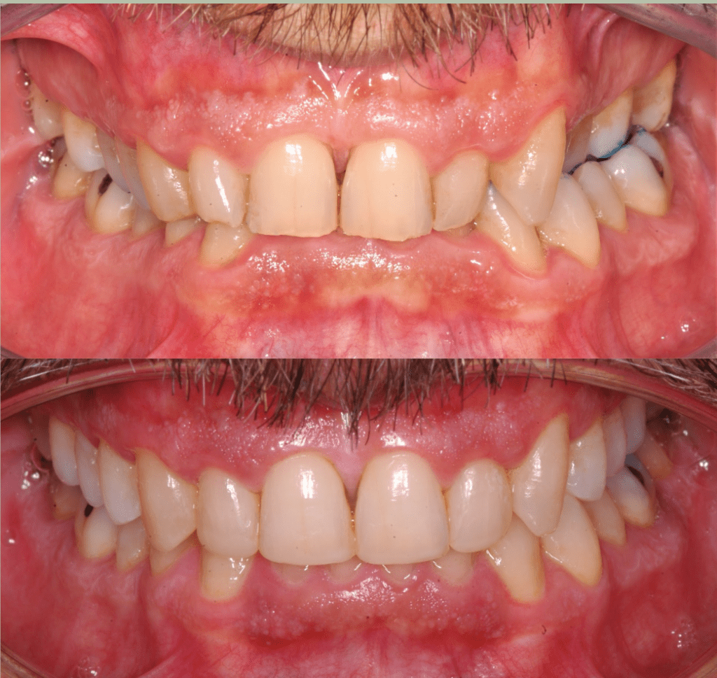
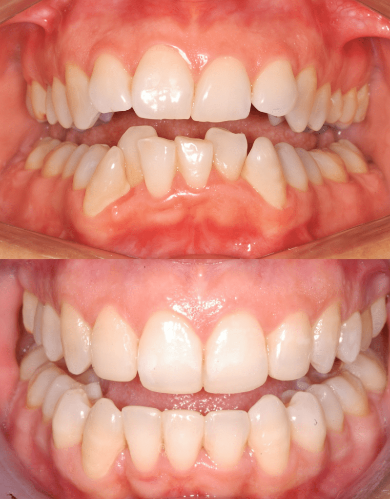
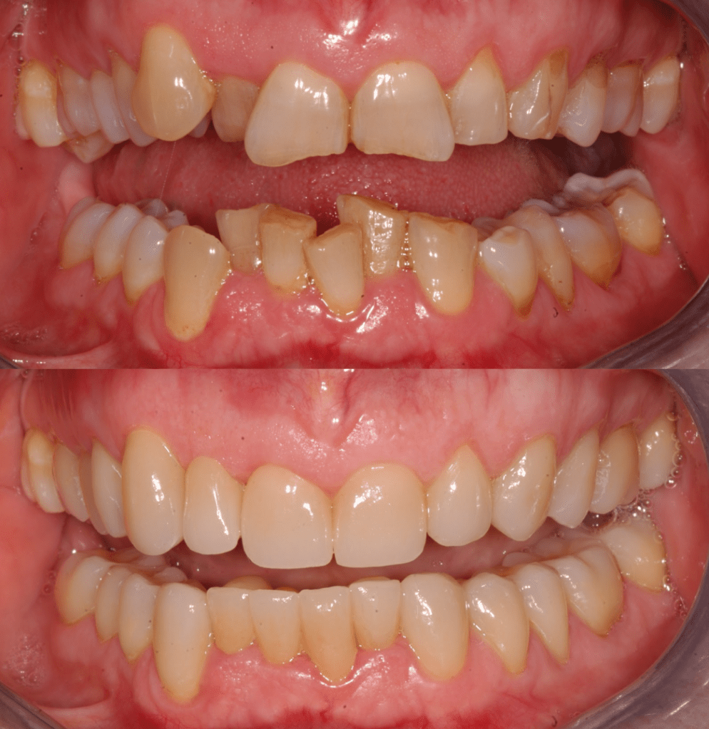
CASOS CLINICOS
Resultados reales que reflejan nuestro compromiso con la excelencia y el bienestar de cada paciente.
REHABILITACION
- Rehabilitación completa que devuelve función y estética.
- Soluciones a medida para sonrisas naturales y duraderas.
- Siempre acorde a las necesidades del paciente
ESTETICA
- Sonrisas naturales, resultados visibles.
- Estética dental, armonía facial.
- Casos individualizados a medida de cada paciente
We speak English
Looking for an English-speaking dentist in Alhama de Murcia? We’ll be happy to help you with professional and friendly care, ensuring clear communication at every step.





















